Skip to content

Huntz宏兹病理脱水机试剂环保解决方案

宏兹率先在国内推出环保透明剂,深耕环保病理领域,持续创新,已服务 600 家病理实验室。
宏兹环保脱水解决方案,经临床、市场充分验证,获众多论文支持。

Huntz宏兹病理脱水机试剂环保解决方案

  • 原态固定液 5000ml 2瓶
  • 环保透明剂 3800ml 3瓶
  • 环保清洗液 5000ml 2瓶

*以上建议配量可根据脱水机参数进行灵活调整

科学配比

  • 脱水剂经科学精准配比,组织脱水效果稳定可靠。

  • 经其处理后的组织,收缩程度极小,质地柔韧,有效避免发脆变硬的问题,为组织切片工作提供理想样本。

创新无苯配方

  • 组织前处理透明液采用创新配方,在脱水透明过程中,对组织零伤害,杜绝因处理不当引发的组织发脆等不良现象。

  • 挥发性低,气味微弱,能完全取代二甲苯,显著改善科室空气质量,全方位守护操作人员的身体健康。


相关科学论文

  • 《陕西医学杂志》2012年10月第41卷第10期
    《环保透明剂替代二甲苯在病理制片技术中的应用》
  • 结论:环保透明剂可以取代二甲苯用作病理组织石蜡制片,并符合实验室环保的要求。

  • 《中南大学学报:医学版》2016年 第4期
    《Van-Clear和二甲苯在荧光原位杂交技术检测宫颈hTERC基因中的应用》
  • 结论:Van-Clear替代二甲苯对FISH技术检测宫颈组织hTERC基因阳性表达率无明显影响,Van-Clear作为环保产品,在FISH技术检测宫颈hTERC基因中有一定的推广应用价值。

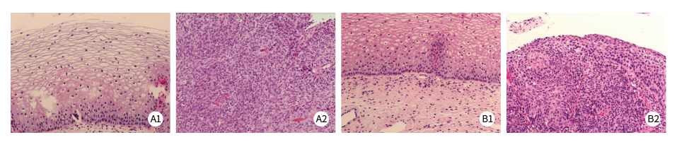
    A1、A2二甲苯处理组宫颈炎标本HE染色图像(×100)

    B1、B2环保透明剂处理组宫颈炎标本HE染色图像(×100)

    两组切片的HE染色均达到行业质控标准,A组和B组的HE染色优良率分别为98.08%和99.23%


PS:如需更多相关论文及完整版本,欢迎联系我们获取。

 

珠海宏兹嘉华科技有限公司
地址:珠海市香洲区环宇城中海国际中心5A08
电话:0756 – 8639917

服务生命 美好健康
To Serve healthcare for better life