Skip to content

“宏”病理技术-GDxDORCO一次性刀片(III):锋利×耐用

长期以来,病理刀片陷入“锋利不耐用、耐用不锋利”的两难。

GDxDORCO病理一次性刀片,彻底打破这一行业瓶颈,以顶尖深冷处理技术锁住锋利性能、强化耐用性,实现两者完美融合,不做取舍,只为呈现最优产品性能,成为病理实验室的终极选择。

GDxDORCO 35L、35H双型号精准适配不同场景,35L侧重精细切割,35H侧重高强度使用,覆盖全病理科切片需求。

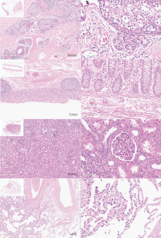
GDxDORCO 切片HE染色效果

GDxDORCO 切片IHC染色效果

一张好的切片,是准确诊断的基础。GDxDORCO刀片以工匠精神重塑切片艺术,助力每一份标本都能呈现出最真实的生命纹理。GDxDORCO在过去3个月的临床试用中,取得了良好口碑。

正式上市销售,敬请咨询:

杨经理:18926918197

杜经理:15089181048

徐经理:18926925917

珠海专线:0756-8639917

武汉专线:027-87107235

珠海宏兹嘉华科技有限公司
地址:珠海市香洲区环宇城中海国际中心5A08
电话:0756 – 8639917

服务生命 美好健康
To Serve healthcare for better life